Microcyte

Microcyte
Microcyte.
SpecialtyHematology

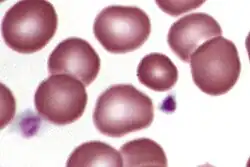
A microcyte is an abnormally sized red blood cell. By definition it is 5 micrometers or smaller in diameter. It is often associated with several forms of anemia.[1]

References

  1. ^ Meredith, Julie; Rosenthal, Nancy (August 1999). "Differential Diagnosis of Microcytic Anemias" (PDF). Laboratory Medicine. 30 (8): 538–542. doi:10.1093/labmed/30.8.538.